イオンモール福岡から徒歩5分
歯
列
矯
正
透明なマウスピース矯正
矯正以外にも
虫歯治療など他の
治療もできる
医院がいい
治療期間や
どんな仕上がりに
なるのか知りたい
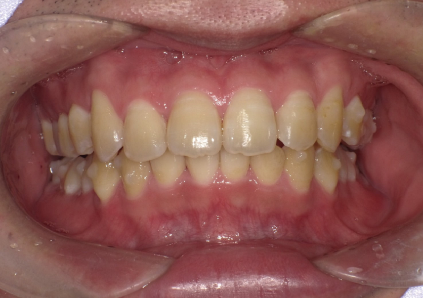
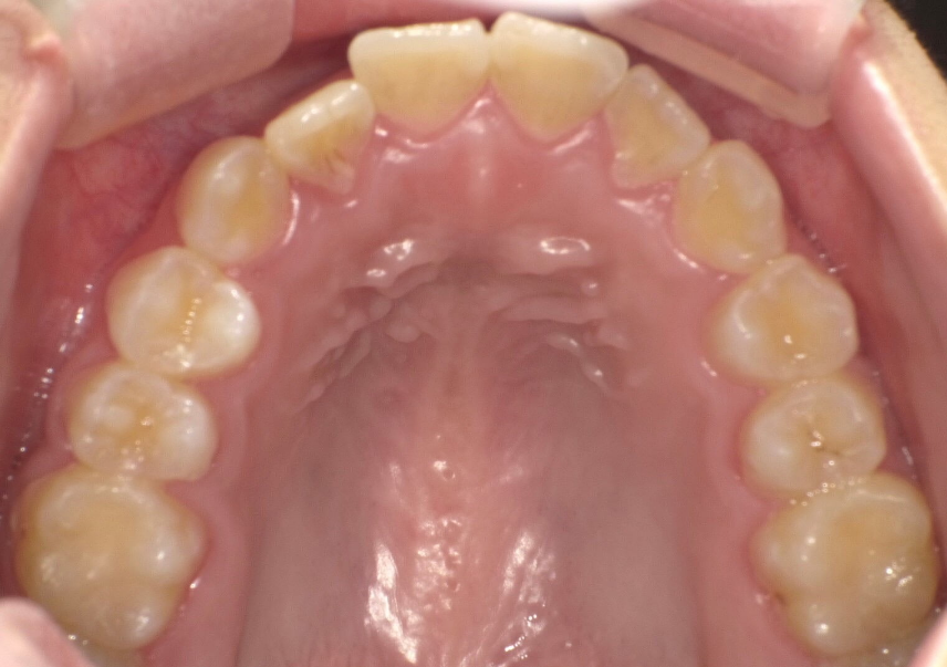
見た目はもちろん
噛み合わせも
しっかりこだわった
医院がいい
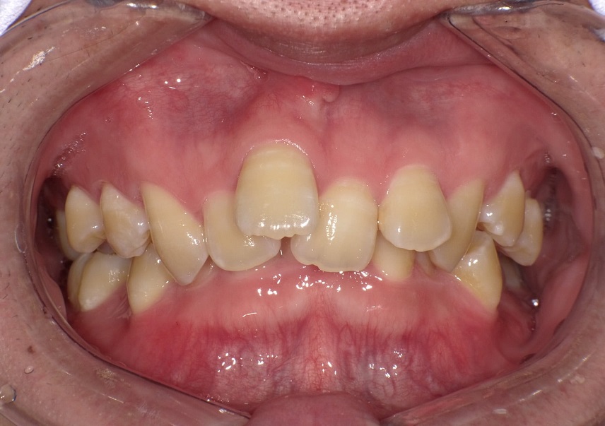
ガタガタ・八重歯
出っ歯
すきっ歯
口ポカン
他院で治療を断られた
気になる部分だけ矯正したい
そんなケースでも当院にお任せください
自分は、どうなんだろう?自分の歯並びの現状を
聞きたいという方もお気軽にご相談ください。
当院では、まずはワイヤーで正位置に矯正し、
インビザラインで対応可能になったら、
目立たない矯正へ乗り換えることも可能です。
インビザラインとは、アライン・テクノロジー
社が提供する
全世界で1200万人以上が
使用する世界シェアNo,1のマウスピース矯正
装置になり多くの方が歯並びを
インビザラインで改善しています。
ストレスが少ない
インビザラインのココがすごい!
透明だから目立たない!
通院回数が少ない!
痛みが少ない!
取り外せて清潔を保てる!
食事制限なし!
金属不使用!
インビザライン以外にも、マウスピース型の
矯正装置はいくつかあります。
他のマウスピース矯正ではなく当院が
インビザラインをオススメする理由は?
また、インビザラインと
他のマウスピース矯正の違いってなに?
マウスピース矯正の装置はどれも
透明で同じような形状に見えますが
治療方法や治療期間、そして治療効果には
大きな違いがあるんです。
インビザライン
その他マウスピース矯正

ネオキャップビムラー矯正治療とは、6~8歳から始められる
負担の少ない矯正で、「ネオキャップという取り外しのできない装置」と
「ビムラーという取り外しのできる装置」を併用し、
歯の表面に矯正装置をつけずに歯並びを整える矯正治療システムです。
ネオキャップビムラー矯正の特徴
ビムラー矯正は「取り外し式」装置で、基本的には「夜寝る時」だけ装着します。その為、お友達に気づかれることなく矯正治療ができます。
ワイヤーで行う矯正装置とは異なりビムラー矯正は、自分の舌や噛む力を使って自然にじっくり治して行く矯正装置なので痛くありません。
歯を強制的に動かす装置とは異なり、ビムラー矯正はお子様の成長する力を使い、顎の位置まで正しい状態に誘導します。その為、自然な歯並びになるので後戻りがありません。
ビムラー矯正を早期(6~7歳頃)で始めると、大切な永久歯を抜かなくて済む確率も高まります。
はかたの森歯科こども歯科では、
【親子で通える歯医者さん】をコンセプトとしており、キッズルームを完備。
お子さまの生涯のお口の健康を守るために、歯医者が怖くない場所として
楽しく通っていただけるよう、空間づくりにもこだわっています。
月額での対応もお受けしております!
【 月額(税抜):6,200円〜 】
当院は、矯正歯科治療を行いながら
虫歯治療や歯周病治療などの
一般歯科治療を総合的に行えるため、
矯正中に起こりがちな虫歯のリスクや
何度も通院する煩わしさを軽減できます。
最新型スキャナー(iTero)による
精密なゴール再現によって
視覚的にイメージがしやすくなります。
通常より10日早く治療がスタートでき
嘔吐反応がある方にも対応可能
当院ではインビザラインをお安い価格で
皆様に受けていただけるよう
地区トップクラスの低価格
月額¥4,450(税込)でご案内しております。
当院は、見た目の綺麗さはもちろん
機能性にもこだわっています。
口の中から健康になっていただきたく
しっかりとしたメンテナンスや
アフターフォローも行っております。
無料カウンセリング
現在の、患者様の歯の状態を確認し
歯や治療に関するお悩みをお伺いいたします。
費用や大体の治療期間についても
ご説明させていただき、ご納得いただいた上で
次の精密検査に入ります。
精密検査
レントゲン撮影・虫歯チェックなど歯の状態を
詳しく見ていき、今後治療を進めていく上での
骨格などの精密な検査を行います。
3Dシミュレーション
精密検査のデータを基に
歯がどんなに動いていくのかを最新スキャナー
iTeroを使用しゴールを再現します。
シミュレーションを確認していただき
患者様のご要望を考慮した治療計画を行います。
インビザライン矯正開始
完成したインビザラインをお渡しします。
マウスピースをお口に装着し歯を少しづつ
動かしていきます。
経過を確認するため、定期的に医院へお越し
いただき調整を行っていきます。
インビザライン装着したまま
食事は大丈夫?
子供でもインビザラインは
できますか?
インビザラインは
どうやって洗いますか?
1日どのくらいの時間
装着すればよろしいですか?
はかたの森歯科こども歯科
院長長繁生
従来の矯正方法と比べて痛みが
少なく、唇や口の中の粘膜などを
傷つけてしまう心配もありません。
食事や大切な場面では
マウスピースを外していただけます
ので、
矯正治療中であっても自由な
ライフスタイルを送っていただけます。
「人前に立つ機会の多い方」
「多くの人と接する社会人の方」
「人生の大切なイベントを控えた方」
でも
目立たない安心感をお届けする
それがインビザラインです。
イオンモール福岡すぐ
なるべく安くて
月々の負担を少なく
矯正を行いたい